Skip to content

enkelt recept

  • Home
  • Recipes
  • Terms & Conditions
  • Privacy Policy

Author: Ouadie Rhabbour

Recipes

Krispiga vårrullar med grönsaker

Ingredienser: 2,4 dl finstrimlad kål 2,4 dl strimlade morötter 1,5 dl hackad salladslök 1,5 dl böngroddar 2 vitlöksklyftor, finhackade 1…

October 25, 2025
Recipes

Denna produkt gör kläder tio gånger vitare

En vit t-shirt som gulnar, örngott som tappar sin glans, ett en gång så fläckfritt lakan som har blivit matt...…

October 25, 2025
Recipes

Håll brödet färskt i 2 veckor med ett enkelt knep: du behöver inte frysa det

Trots förändringen i våra matvanor har bröd förblivit fransmännens favoritmat. Det passar bra till rätter eller blir basen för dem,…

October 25, 2025
Recipes

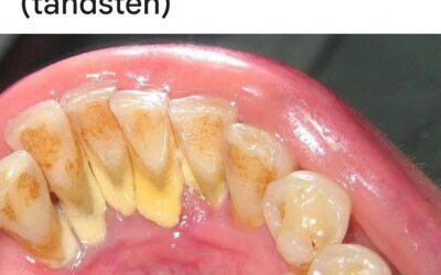
Det bästa botemedlet mot plack (tandsten)

Tandplack, även känt som tandsten, orsakar ofta problem med dålig andedräkt, vikande tandkött och inflammation. Denna plack består faktiskt av…

October 25, 2025
Recipes

Detta blad för att kontrollera blodsockret: en gåva från naturen för diabetiker

När vi tänker på guava föreställer vi oss ofta dess söta, tropiska smak, men få människor inser att dess blad…

October 25, 2025
Recipes

Vad är ett aneurysm? Orsaker, symtom och när man ska söka hjälp

Vissa smärtor oroar oss med rätta. Men det finns ett ord, ofta höljt i dunkel: aneurysm. Bakom denna något vaga…

October 25, 2025
Recipes

Det här är en vanlig rätt hos oss! Mina barn älskade den och slukade snabbt resterna morgonen därpå!

Bakad potatismos med ost är en tröstande och njutbar sidorätt som kombinerar den krämiga konsistensen av potatismos med den rika,…

October 25, 2025
Recipes

Jag kanske har börjat räkna på fingrarna, eller kanske inte, bara för att vara säker.

Även om det kanske inte är en klassisk optisk illusion, är bilden nedan utformad för att testa din visuella uppfattning,…

October 25, 2025
Recipes

Återställ din syn, säg adjö till närsynthet och grå starr och föryngra din syn. Stärk även ditt minne. För att fortsätta få mina recept, säg bara något... Tack!

Naturliga recept för att förbättra syn och minne   🥕🍎🍅 Naturliga recept för att förbättra syn och minne 🌟  IntroduktionSynhälsa är…

October 25, 2025

Posts pagination

Previous 1 … 2,416 2,417 2,418 … 2,530 Next
Proudly powered by WordPress | Theme: Justread by GretaThemes.